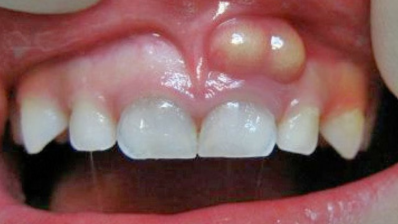
comment percer un abcès dentaire

Austin Delacruz   20/12/2021 00:00

comment percer un abcès dentaire

amibe mangeuse de cerveau alocasia zebrina feuille jaune anais baydemir altea plante amasse un tresor en 10 lettres ameli connexion amazon playstation 5 ampoule de zinc allo papa noel whatsapp anggun

12 reponses a vos questions sur les implants dentaires isabelle gaudette
12 reponses a vos questions sur les implants dentaires isabelle gaudette From Pinterest

tapissier mots fléchés taken 2 mort de sa femme teneur en sucre des fruits tefa femme taille michel barnier telethon 2018 resultats taille stallone taille tayc tarte au myrtilles taille miss france

percer un abces dans une gencive forum

percer un abces dans une gencive forum

gencives massacrees appareil pose a vif le dentiste de l horreur au tribunal midilibre fr

gencives massacrees appareil pose a vif le dentiste de l horreur au tribunal midilibre fr

enflure ou bosse sur la gencive bucco guide des soins trouver le bon dentiste selon vos besoins

enflure ou bosse sur la gencive bucco guide des soins trouver le bon dentiste selon vos besoins

abces dentaire comment le diagnostiquer et le traiter a temps

abces dentaire comment le diagnostiquer et le traiter a temps

1

1

soigner un abces dentaire naturellement pro forums

soigner un abces dentaire naturellement pro forums

12 reponses a vos questions sur les implants dentaires isabelle gaudette

12 reponses a vos questions sur les implants dentaires isabelle gaudette

un dentiste perce un abces dentaire oo attention aux ames sensibles youtube

un dentiste perce un abces dentaire oo attention aux ames sensibles youtube

webmastervirus auteur a dentiste rdp

webmastervirus auteur a dentiste rdp

comment blanchir vos dents a l aide du bicarbonate de soude

comment blanchir vos dents a l aide du bicarbonate de soude

abces dentaire traitement causes et diagnostic

abces dentaire traitement causes et diagnostic

poches parodontales bucco

poches parodontales bucco

nsfw un dentiste perce l abces d un de ses clients

nsfw un dentiste perce l abces d un de ses clients

combien de temps met un abces dentaire pour murir que doit on traiter

combien de temps met un abces dentaire pour murir que doit on traiter

abces dentaire comme le soigner quels sont les symptomes

abces dentaire comme le soigner quels sont les symptomes

voici ce que vous ignorez sur l abces dentaire afrique secret

voici ce que vous ignorez sur l abces dentaire afrique secret

comment soignons nous un abces dentaire

comment soignons nous un abces dentaire

saignement des gencives pour un bebe que faire l express

saignement des gencives pour un bebe que faire l express

fistule dentaire identifier traiter et prevenir

fistule dentaire identifier traiter et prevenir

un dentiste perce un abces dentaire oo attention aux ames sensibles youtube

un dentiste perce un abces dentaire oo attention aux ames sensibles youtube

comment soignons nous un abces dentaire

comment soignons nous un abces dentaire

les douleurs dentaires bucco guide des soins trouver le bon dentiste selon vos besoins

les douleurs dentaires bucco guide des soins trouver le bon dentiste selon vos besoins

le mal de dents les causes et les solutions

le mal de dents les causes et les solutions

comment stopper le dechaussement dentaire

comment stopper le dechaussement dentaire

risques d implant dentaire

risques d implant dentaire

comment stopper l erosion dentaire

comment stopper l erosion dentaire

extraction du pus d un abces dentaire medical video youtube

extraction du pus d un abces dentaire medical video youtube

abces dentaire comme le soigner quels sont les symptomes

abces dentaire comme le soigner quels sont les symptomes

epingle sur dents

epingle sur dents

urgence dentaire soigner naturellement un abces excell sante

urgence dentaire soigner naturellement un abces excell sante

bouton sur la langue causes et traitements

bouton sur la langue causes et traitements

urgence dentaire les signaux d alarme qui ne trompent pas

urgence dentaire les signaux d alarme qui ne trompent pas

percer un abces dentaire

percer un abces dentaire

les symptomes de la gomme abces

les symptomes de la gomme abces

boule sur la gencive cmd balexert

boule sur la gencive cmd balexert

serrement des dents clinique dentaire galt

serrement des dents clinique dentaire galt

boule sur la gencive cmd balexert

boule sur la gencive cmd balexert

abces infection quels antibiotiques pour les dents sante magazine

abces infection quels antibiotiques pour les dents sante magazine

extraction d une dent de lait suite a un abces dentiste pour enfants

extraction d une dent de lait suite a un abces dentiste pour enfants

gingivite 3 methodes douces pour la soigner top sante

gingivite 3 methodes douces pour la soigner top sante

©2021 River Warta - All Rights Reserved